Tällä sivulla esittelemme erilaisia lähtötilanteita ja näihin liittyviä toimenpiteitä, ennen-jälkeen -kuvaparien muodossa.
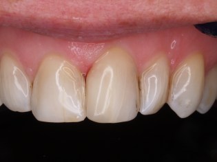
ENNEN: Merkittävä rako etuhampaiden välissä häiritsi, potilas ei kuitenkaan halunnut vielä oikomishoitoa.
JÄLKEEN: Suositeltiin oikomishoitoa. Korjattiin häiritsevä rako, diastema, esteettisellä Miris-yhdistelmämuovilla kerrostustekniikan avulla.

ENNEN: Asiakkaalla halu nuorentaa hymyä; vanhoja, hieman luonnottoman näköisiä kruunuja ja kulumia hammaskauloissa.
JÄLKEEN: Zoom-hammasvalkaisu. Keraamisia, luonnollisen kauniita e.max laminaatteja ja kruunuja ylähampaissa. Purentakisko.
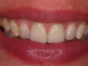
ENNEN: Hampaiden väliset raot häiritsivät niin paljon, ettei halunnut hymyillä valokuvissa.
JÄLKEEN: Yhdellä hoitokerralla korjattiin häiritsevät diastemat, raot, esteettisellä Miris-yhdistelmämuovillla kerrostustekniikan avulla.

ENNEN: Oikeanpuoleinen etuhammas kulunut, vasemmanpuoleinen etuhammas lohjennut ja muovipaikka värjäytynyt.

JÄLKEEN: Hoitona keraaminen e.max-laminaatti ja purentakisko.

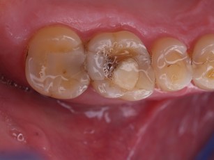
ENNEN: Laaja yhdistelmämuovitäyte kovan purennan alla, murtunut monesta kohtaa.

JÄLKEEN: Hoitona keraaminen kruunu ja purentakiskon aktiivinen käyttö.

ENNEN: Etuhampaan iso paikka erottui vaaleampana hammaskudokseen nähden.

JÄLKEEN: Stylo italiano-tekniikalla tehty monikerrostus-muovitäyte, jolla saatu kiiltävä ja optisesti integroituva, huomaamaton, luonnollisen kaunis hoitotulos.

ENNEN: Perinteiset metallipaikat jättävät rakoa paikan ja hampaan väliin.

JÄLKEEN: Vanhat amalgaamitäytteet voidaan vaihtaa esteettisiin muovitäytteisiin, jotka kiinnittyvät hampaaseen kemiallisesti, eikä näin myöskään rakoa jää.

ENNEN:Ennen hoitoa kuluneet ja saumoistaan värjäytyneet muovitäytteet kiinnittivät katsojan huomiota, koska asiakkaalla oli gummy smile eli hampaat näkyivät “avoimesti” hymyillessä ja puhuessa.

JÄLKEEN: Vanhat täytteet poistettiin omaa hammaskudosta säästäen ja Stylo Italiano-tekniikalla täytteet vaihdettiin huippuesteettisiin kerrostusmuovi-täytteisiin. Nämä uudet paikat ovat lähes huomaamattomat ja kiiltävät pinnaltaan, jolloin niihin ei keräänny plakkia helposti ja reikiintymisriski on pieni. Hoito toteutettiin yhdessä istunnossa.




